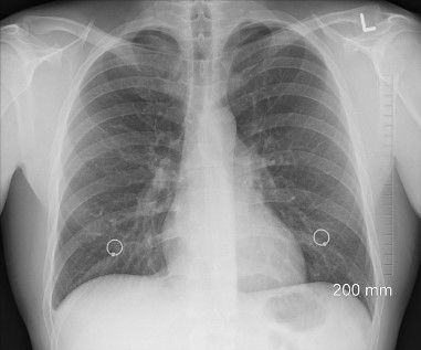
기흉은 흉부 내부의 공기가 비정상적으로 폐 외부로 누출되는 상태를 말합니다. 폐에 구멍이 나면 폐의 압력이 가슴속의 압력과 같아져서 사슴 속의 부피에 따라 폐가 커지거나 작아지지 못하므로 공기가 폐로 나가지 못하게 되어 호흡곤란이 일어납니다.
일반적으로 기흉은 두 가지 유형으로 첫 번째는 외상성 기흉으로 외상이나 부상으로 인해 폐에 손상이 생기면서 기흉이 발생하며, 찔린 상처, 강한 타격, 골절 등이 이에 해당합니다. 그리고 두 번째는 비외상성 기흉으로 원발성 비외상성 기흉 (어떤 명확한 원인 없이 발생하는 기흉입니다. 주로 젊은 청년들에게서 발생하며, 기저에는 폐 조직의 기포나 낭종 등이 있을 수 있습니다.)과 이차성 비외상성 기흉(기저에 기저질환이나 손상이 있는 경우에 발생하는 기흉입니다. 폐 질환, 폐종양, 천식, 감염 등이 이에 해당합니다.)으로 유형이 나눠집니다.
기흉이 발생하면 폐의 일부 또는 전체가 흉강으로 이동하게 됩니다. 기흉은 폐와 흉강 사이의 압력 차이로 인해 발생할 수 있습니다.

기흉의 증상
1. 흉통
가장 일반적인 기흉의 증상으로, 한쪽 흉곽에서 발생하는 통증을 경험할 수 있습니다. 통증은 흉곽의 한쪽이나 양쪽에서 느껴질 수 있으며, 심할 경우 숨 쉬기나 기침 등으로 통증이 지속될 수 있습니다.
2. 호흡 곤란
기흉으로 인해 폐의 확장이 제한되고 기흉 측 폐의 기능이 감소하면 호흡 곤란을 경험할 수 있으며, 심한 경우 호흡 곤란이 심해질 수 있습니다.
3. 빠른 호흡
기흉으로 인해 호흡이 어려워지면서 호흡 속도가 증가할 수 있습니다. 이는 폐의 산소 공급이 감소되어 신체가 산소를 보충하려는 반응입니다.
4. 피로감
호흡 곤란과 산소 공급 부족으로 인해 신체의 에너지 수준이 낮아지고 피로감을 느낄 수 있습니다.
5. 심부전 증상
기흉이 심한 경우, 폐 기능이 저하되고 심장에 부담이 가게 되어 심부전에 관련된 증상이 나타날 수 있습니다. 이는 부종, 팔다리 부기, 숨 가쁨, 흉부 압박 등을 포함할 수 있습니다.
6. 기타 증상
기흉에 따라 발열, 피식거림, 기침, 구토 등 다양한 증상이 나타날 수도 있습니다. 기흉의 원인과 심각성에 따라 다를 수 있습니다.
기흉의 치료 방법
1. 자가 치료
경미한 기흉의 경우, 별도의 치료 없이 몇 주 동안 관찰하면서 휴식과 안정을 취하는 것으로 치료가 가능할 수 있습니다. 그러나 중증의 기흉이나 지속적인 호흡 곤란을 경험하는 경우에는 의료 전문가와 상담해야 합니다.
2. 기흉 치료 약물
기흉을 일으키는 기저질환의 원인에 따라 약물 치료가 필요할 수 있습니다. 예를 들어, 폐 기포를 줄이기 위해 산소 공급을 돕거나, 폐 염증을 감소시키기 위해 스테로이드 약물이 사용될 수 있습니다. 약물 치료는 의료 전문가의 처방에 따라 이루어져야 합니다.
3. 기흉 배액
기흉으로 인해 비정상적인 기체나 액체가 폐에 머무르는 경우, 이를 제거하고 기흉을 개선하기 위해 기흉 배액 절차가 사용될 수 있습니다. 이는 폐의 기흉 공간을 제거하고, 호흡을 돕기 위해 흡입 또는 배액관을 이용하여 비정상적인 기흉물을 제거하는 절차입니다.
4. 기흉 수술
심각한 기흉이나 반복적인 기흉의 경우, 수술적 개입이 필요할 수 있습니다. 수술은 기흉을 일으키는 원인을 제거하거나 폐를 안정화시키는 데 도움을 줄 수 있습니다. 예를 들어, 기흉이 발생한 원인인 폐 낭종을 제거하거나, 기흉을 일으키는 폐 부위를 보강하는 등의 수술 절차가 수행될 수 있습니다.
기흉의 예방법
1. 흡연을 피하거나 금연하기
담배 연기는 기흉을 유발하는 주요 요인 중 하나입니다. 흡연은 기관지를 자극하여 염증을 유발하고 기흉을 일으킬 수 있습니다. 흡연을 피하거나 금연하여 기흉 발생 가능성을 줄일 수 있습니다.
2. 호흡기 감염 예방
기흉의 주요 원인 중 하나는 호흡기 감염입니다. 감염을 예방하기 위해 손을 자주 씻고, 사람이 많은 장소에서는 마스크를 착용하세요. 또한, 예방적인 예방주사나 예방적인 항생제 사용도 고려할 수 있습니다.
3. 환경 요인 관리
알레르기나 환경 요인으로 인해 기흉이 발생할 수도 있습니다. 환경에서 이러한 요인을 최소화하고, 공기를 청정하게 유지하는 것이 중요합니다. 실내 환기를 유지하고, 알레르기 원인물질에 노출되는 것을 피하기 위해 적절한 조치를 취하세요.
4. 건강한 생활 습관
건강한 생활 습관은 기흉 예방에 도움이 될 수 있습니다. 적절한 영양섭취, 충분한 수면, 규칙적인 운동 등을 유지하여 면역력을 강화하고 호흡기 건강을 유지하세요.
5. 안전 조치
기흉은 가끔 부상으로 인해 발생할 수도 있습니다. 스포츠나 활동 중에는 적절한 보호장비를 착용하고, 위험한 상황을 피하도록 주의하세요.
'건강에디터' 카테고리의 다른 글
| 주의력결핍 과잉행동장애(A.D.H.D) 증상과 치료 방법 (0) | 2023.06.13 |
|---|---|
| 아연(필수 미네랄) 결핍 증상과 예방법 (0) | 2023.06.13 |
| 다낭성 난소증후군의 증상과 치료 방법 탐색하기 (0) | 2023.06.12 |
| 갑상선기능항진증의 주요 증상과 치료 방법 (0) | 2023.06.12 |
| 이명의 원인과 증상 알아야 할 치료법과 예방법 (2) | 2023.06.11 |